Leveraging the power of the cloud and AI to improve clinical outcomes

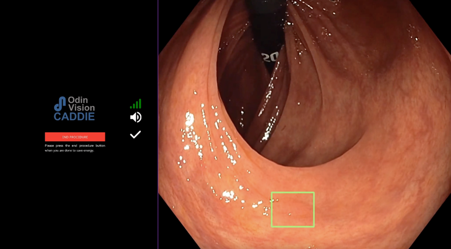
The Odin CADDIE™ computer-aided detection (CADe) device is the first cloud-based Artificial Intelligence (AI) technology designed to assist gastroenterologists in detecting suspected colorectal polyps during colonoscopy procedures. In this image, the CADDIE device indicates the potential presence of a diminutive polyp. This image is for illustration purposes only. It is not a representation of an actual product as it may be commercialized.
CENTER VALLEY, Pa., (Sept. 5, 2024) – Odin Medical Ltd., an Olympus Corporation company, has received U.S. Food and Drug Administration (FDA) 510(k) clearance for the first cloud-based Artificial Intelligence (AI) technology designed to assist gastroenterologists in detecting suspected colorectal polyps during colonoscopy procedures, the CADDIE™ computer-aided detection (CADe) device.
In the constantly evolving, fast-paced world of AI, this innovative cloud-based technology supports doctors to improve the detection of the early signs of colorectal cancer using AI software that can be remotely updated. The flexibility, speed-to-innovation, and potential cost-savings of a cloud-based system are designed to help endoscopists provide a high level of care to patients.
“Together with Olympus, we are proud to bring this groundbreaking technology to the U.S. The cloud gives us the ability to keep hospitals up-to-date with advances in AI and gives peace of mind to doctors that they can easily access current technology for their patients,” said Peter Mountney, Ph.D., CEO of Odin Vision.
CADDIE™ device improves adenomas detected per colonoscopy
A prospective, multi-center randomized controlled trial successfully demonstrated the efficacy and safety of the CADDIE device, underscoring its potential to enhance detection capabilities and patient care without increasing procedural risks or duration. The trial was conducted across eight medical centers in Europe.
“The trial shows that use of the CADDIE device improved the adenomas detected per colonoscopy, which is linked to cancer prevention. The potential for this system to support more endoscopists in helping more patients is truly exciting,” said Professor Alessandro Repici, Chairman, Department of Gastroenterology at Humanitas University & Humanitas Research Hospital, Italy, and principal investigator of the trial.
The CADDIE device works by analyzing colonoscopy video in real-time and using visual markers to alert the endoscopist to the potential presence of polyps. The endoscopist is responsible for reviewing the CADDIE™ device’s suspected polyp areas and confirming the presence or absence of a polyp based on their own medical judgment.
Olympus aims to reduce the societal burden of colorectal cancer
Supporting advancements in colorectal cancer screening and detection, Olympus aims to reduce the societal burden of lives lost to colorectal cancer, which is expected to claim more than 53,000 lives in the U.S. in 2024 and is the second-leading cause of cancer deaths among men and women in the U.S. Of concern is the rising incidence of colorectal cancer in people under 50, with forecasting models predicting that colorectal cancer will be the leading cause of cancer deaths in people under 50 by 2030. Early detection has never been more important. More than 90% of patients survive five years or more when the cancer is found at an early stage.
Improving the effectiveness of colonoscopy, considered the gold standard for colorectal screening, by strengthening clinical decision-making is one of the primary goals of the Olympus Intelligent Endoscopy Ecosystem, which will leverage the CADDIE device’s cloud connectivity and AI capabilities.
“As a global leader in endoscopy, it is our vision to make AI a key component of our digital transformation,” said Miquel Àngel García, Global Head of Endoscopy Solutions Ecosystem at Olympus Corporation. “Odin’s success with this FDA clearance is an important step forward. A digitally transformed endoscopy ecosystem has the potential to support doctors and hospitals as they navigate global industry mega trends like cost pressures and staff shortages, in the context of an aging population. We are very excited about the huge opportunities for patients and healthcare systems that these advancements make possible.”
The CADDIE device is not intended to replace a full patient evaluation, nor is it intended to be relied upon to make a primary interpretation of endoscopic procedures, medical diagnosis, or recommendations of treatment/course of action for patients. The CADDIE device is limited to use with standard white-light endoscopy imaging only.
# # #
About Olympus
At Olympus, we are committed to Our Purpose of making people’s lives healthier, safer and more fulfilling. As a global medical technology company, we partner with healthcare professionals to provide best-in-class solutions and services for early detection, diagnosis and minimally invasive treatment, aiming to improve patient outcomes by elevating the standard of care in targeted disease states. For more than 100 years, Olympus has pursued a goal of contributing to society by producing products designed with the purpose of delivering optimal outcomes for its customers around the world. For more information, visit olympus-global.com and follow our global X account: @Olympus_Corp.
About Odin Vision
Odin Vision, an Olympus company, is a pioneering Cloud AI endoscopy company. Our mission is to revolutionize endoscopy with the next generation of cloud AI-enabled applications. Odin Vision is a trading name of Odin Medical Ltd. For more information, visit odin-vision.com and follow our updates on the X account: @Odin_Vision.
i Schottinger JE, Jensen CD, Ghai NR, et al. Association of Physician Adenoma Detection Rates With Postcolonoscopy Colorectal Cancer. JAMA. 2022;327(21):2114–2122. doi:10.1001/jama.2022.6644
ii Key Statistics for Colorectal Cancer. Cancer.org. Revised Jan. 29, 2024. Accessed Aug. 2, 2024. https://www.cancer.org/cancer/types/colon-rectal-cancer/about/key-statistics.html.
iii Cancer Statistics. Cancer.gov. Updated May 9, 2024. Accessed Aug. 15, 2024. https://www.cancer.gov/about-cancer/understanding/statistics.
iv Chun-Wei Pan C, Villaroman A, Cuartas MC, Gupta S. Rising trend of early-onset colorectal cancer in the US: Incidence and projections to 2030 [Abstract]. J. Clin. Oncol. 2024;42(16). doi.org/10.1200/JCO.2024.42.16_suppl.e15523
v Survival Rates for Colorectal Cancer. Cancer.org. https://www.cancer.org/cancer/types/colon-rectal-cancer/detection-diagnosis-staging/survival-rates.html. Revised Jan. 17, 2024.
vi Colorectal Cancer: What You Should Know About Screening. FDA.gov. Revised March 28, 2024. Accessed Aug. 2, 2024. https://www.fda.gov/consumers/consumer-updates/colorectal-cancer-what-you-should-know-about-screening.
i Criner GJ, Delage A, Voelker K, et al. Improving Lung Function in Severe Heterogenous Emphysema with the Spiration Valve System (EMPROVE): A Multicenter, Open-Label, Randomized, Controlled Trial. Am J Respir Crit Care Med. 2019;200(11):1354-1362. doi: 10.1164/rccm.201902-0383OC.